Die Verwendung von individualisierten Abutments in der Praxis

Ein Fallbericht

Armin Watzer, Dr. med. univ, Facharzt für Zahn-, Mund- und Kieferheilkunde
2500 Baden, Pergerstraße 9

Dieter Ribarich, Zahntechniker-Meister
2500 Baden, Leesdorfer Hauptstraße 8


Erschienen in der Zeitschrift: Zahnkrone 2011; Nr. 2: 35-36



Einleitung

Individualisierte Abutments für implantatprothetische Lösungen haben gegenüber konfektionierten Abutments Vorteile: Die Lage des Zementspaltes kann den tatsächlichen Gegebenheiten des Gingivalrandes angepasst werden und die Form des Abutments (Höhe, Durchmesser, Abstand zum Antagonisten) den Erfordernissen entsprechend gestaltet werden.

Mit dem System Atlantis® bietet die Firma Astra Tech® ein System zur Herstellung derartiger Abutments an. Die für die Umsetzung eines implantatprothetischen Konzeptes in der Praxis des niedergelassenen Zahnarztes entscheidenden Faktoren (sichere und erprobte Werkstoffe, gut planbare zeitliche Abläufe, überschaubare Kosten) sind dabei gewährleistet..


Patient

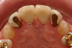
Ein 53jähriger männlicher Patient verlor die beiden Zähne 11 und 21 durch eine Kombination parodontaler und endodontaler Probleme. Nach Abheilung der Extraktionswunden wies der Kieferkamm ein mäßiges vertikales und horizontales Defizit auf.


Abbildung 1: Ästhetisch unbefriedigende Situation nach Entfernung der oberen zentralen Schneidezähne

 

Vorbereitung

Drei Monate nach Entfernung der beiden Schneidezähne 11 und 21 wurde eine Knochenaugmentation des Areals durchgeführt. Zur Anwendung kam ein Knochenblock aus der Retromolar-Region sowie das Knochenersatzmaterial BioOss® von Geistlich®, abgedeckt mit einer resorbierbaren Kollagen-Membran (BioGide® von Geistlich®).

   

Abbildung 2: Situation von okklusal vor und nach der Augmentation


Implantation

Drei Monate nach der Augmentation wurden zwei Astra®-Implantate (Durchmesser 4.5 mm, Länge 13 mm) gesetzt. Während der Einheilphase von knapp fünf Monaten wurden die Implantate nicht belastet, die Implantate heilten gedeckt ein.

  

Abbildung 3: Astra-Implantate am Ende der Einheilphase


Provisorische Versorgung

Nach der Freilegung der Implantate wurde einer Abformung durchgeführt (Impregum® der Firma Espe®) und ein Meistermodell mit Implanat-Analoga angefertigt. 

Zunächst wurden darauf provisorische Kunststoff-Kronen auf Titan-Abutments der Firma Astra Tech® hergestellt. Diese wurden beim Patienten eingegliedert und die Weichgewebs-Situation (Papille, Gingivalrand) über eine Zeitraum von knapp zwei Monaten beobachtet. 


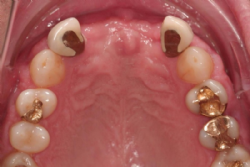
Abbildung 4: Provisorische Kronen in situ. Die Öffnung für die Schraube wurde mit provisorischen Kunststoff verschlossen


Definitive Abutments

Die einartikulierten und mit Zahnfleischmaske versehenen Modelle wurden in das Atlantis®-Labor geschickt. Nachdem dort die Modelle eingescannt worden waren, konnte das Design der Atlantis®-Abutments in enger Absprache mit Zahnarzt und Zahntechniker-Meister geplant werden. Die Kommunikation geschieht virtuell mittels Atlantis VAD® Software. 


Abbildung 5: Virtuelles Bild der Atlantis®-Abutments in der Planungsphase

 

Obwohl der Patient in Bezug auf seine ästhetischen Wünsche nicht sehr anspruchsvoll war, wurde dennoch entschieden, Zirkondioxid-Abutments zu verwenden. Gerade in ästhetisch relevanten Zonen wie den oberen Schneidezähnen erlauben diese ein wesentlich anspruchsvolleres Ergebnis. Neben den Zirkondioxid-Abutments könnten im Atlantis®-System auch Titan-Abutments und goldfärbige titannitrid-beschichtete Abutments verwendet werden. 

Die nach der Planung im Atlantis®-Labor gefertigten Abutments standen nach wenigen Tagen zur Verfügung.

  

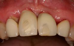
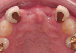
Abbildung 6: Die Atlantis-Abutments aus Zirkondioxid wurden nach den individuellen Erfordernissen gestaltet

 

Definitive Kronen

Aus der Vielzahl von Möglichkeiten wurde entschieden, Keramik-Kronen ebenfalls auf Basis von Zirkondioxid herzustellen (Cercon Ceram Kiss® von DeguDent®). Durch die Wahl einer metallfreien Basis kann die Ästhetik insbesondere am Gingivalrand entscheidend verbessert werden


Abbildung 7: Keramik-Kronen auf Zirkondioxid-Basis


Die Kronen wurden mittels Zement eingegliedert, wobei ein Produkt verwendet wurde, das eine möglicherweise später gewünschte Abnahme (TempBond® von Kerr®).

 

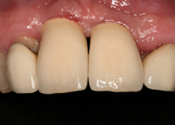
Abbildung 8: Kronen unmittelbar nach der Eingliederung



Abbildung 9: Der Patient kann wieder lachen

 

Schlussfolgerung

Das Atlantis-System zur individuellen Gestaltung von implantologische Abutments ist in der Praxis des niedergelassenen Zahnarztes gut einsetzbar. Die Zusammenarbeit Zahnarzt-Zahntechniker-Atlantislabor funktioniert problemlos. Der Vorteil einer individuell gestaltbaren Form war evident.


18. März 2011



Ordinationszeiten
Hier gelangen Sie zu unseren Ordinationszeiten.
Gratiszahnspange
Als besonders qualifizierte kieferorthopädische Praxis haben wir einen Kassenvertrag für die "Gratiszahnspange".