Kieferorthopädie
3. Therapie
Behandlung mit herausnehmbaren Apparaturen
Allgemeines
Abnehmbare Geräte werden nach Anweisung des Kieferorthopäden mittels der Kiefermodelle im zahntechnischen Labor hergestellt. Sie bestehen in aller Regel aus einem Kunststoffkörper, in den verschiedene Drahtelemente oder Schrauben eingearbeitet sind. Mit diesen wird Druck oder Zug auf die Zähne und Kiefer ausgeübt.Man unterscheidet zwischen Geräten, die hauptsächlich auf den Einzelkiefer wirken (aktive Platten) und Geräten, die die Kieferrelation und das Kieferwachstum beeinflussen sollen (funktionskieferorthopädische Geräte, z.B. Aktivator oder Bionator). Häufig sind während der Behandlungsdauer verschiedene Geräte für einen optimalen Behandlungserfolg notwendig.
Bei geringgradigen Fehlstellungen Erwachsener ist es auch möglich, durch eine Abfolge speziell angefertigter durchsichtiger Schienen (wie z.B. "Invisalign®","Clear Aligner®" etc.) nach und nach bestimmte Umformungen zu erzielen. Vorteile abnehmbarer Zahnspangen

- Da die Mundhygiene ungestört möglich ist, kann es zu keiner behandlungsbedingten Karies kommen.
- Frühzeitige Behandlung im Milchgebiss oder Wechselgebiss ist möglich.
- Die Verbesserung der Kieferrelation durch positive Beeinflussung des Kieferwachstums verbessert das Gesichtsprofil.
- Wenn notwendig (Sprechen in der Schule, Sport etc.) kann das Gerät herausgenommen werden.
Nachteile abnehmbarer Zahnspangen

- Eine aktive Mitarbeit ist notwendig. Unregelmäßiges oder zu kurzes Tragen des Gerätes gefährdet den Erfolg. In der Regel ist eine Tragezeit von 14-16 Stunden pro Tag (also auch tagsüber!) für einen guten Behandlungserfolg erforderlich.
- Verlust oder Beschädigung sind bei nicht sorgsamem Umgang möglich.
- Die Behandlungsdauer ist länger als bei festsitzenden Geräten.
- Manche Fehlstellungen können nur schlecht mit abnehmbaren Geräten behandelt werden: Veränderungen der Wurzelstellung sind nicht möglich, Stellungsänderungen von Einzelzähnen sehr beschränkt
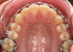
Festsitzende Therapie
Allgemeines
Festsitzende Apparaturen werden hauptsächlich im bleibenden Gebiss zur Behandlung von Fehlstellungen benutzt, also bei Jugendlichen und Erwachsenen. Aber auch im Wechselgebiss werden häufig festsitzende Elemente mit herausnehmbaren Apparaturen kombiniert.
Vorteile festsitzender Zahnspangen

- Fast jede Zahnfehlstellung ist mittels festsitzender Zahnspange korrigierbar.
- Behandlungszeit ist kürzer als bei herausnehmbaren Apparaturen, da das Gerät 24h am Tag wirken kann.
- Patientenmitarbeit ist nur bedingt nötig, wenn überhaupt dann meist nur während einiger spezieller Behandlungsphasen.
- Sprechen in der Regel nicht behindert
Nachteile festsitzender Zahnspangen

- Erschwerte Mundhygiene
Durch geeignete Putztechnik (spezielle Bürstchen) ist die Reinigung der Zähne trotzdem sehr gut möglich; das Gerät selbst schädigt den Zahnschmelz nicht und: ein sauberer Zahn wird nicht von Karies befallen! - Irritation der Mundschleimhaut zu Beginn der Behandlung
- Harte und klebrige Nahrung kann die Zahnspange beschädigen – eine Reparatur kann dann nur in der kieferorthopädischen Ordination erfolgen
- Wurzelverkürzungen sind bei entsprechender Veranlagung möglich
- Sichtbarkeit beim Lächeln kann nachteilig sein (Schauspieler, Nachrichtensprecher); bei nicht allzu umfangreichen Zahnbewegungen kann durch Verwendung zahnfarbener Brackets die Kosmetik verbessert werden
Haupteinsatzgebiete der festsitzenden Spangen
- Bewegungen bleibender Zähne körperlich im Knochen (prinzipiell in alle Richtungen möglich)
- Exakte Zahndrehungen und -kippungen
- Einordnen verlagerter (im Kieferknochen „steckengebliebener") Zähne
- Schließen von Zahnlücken (nach Zahnverlust oder weil bleibende Zähne nicht angelegt sind)
- Wurzelbewegung bei speziellen Verzahnungsproblemen (Tiefbiss, Deckbiss)
Behandlung mit weißen (zahnfarbenen) Brackets und goldenen Brackets

Die auf die Zähne geklebten Brackets sind in der Regel aus Stahl und daher silberfarbig. Stählerne Brackets sind besonders schlank und bieten eine sehr exakte Führung für die aktiven Elemente der Zahnspange. In manchen Fällen ist es auf Grund der beruflichen Situation des Patienten nötig, möglichst unauffällige, also zahnfarbene Brackets zu verwenden.
Auch die Verwendung goldfarbiger Brackets (und zum Teil auch Drähte) ist möglich und verbessert oft entscheidend die kosmetische Wirkung. Die Qualität derartiger goldfarbener Brackets ist dabei ähnlich gut wie die der silbernen.
Besonders elegant ist die Verwendung einer Kombination zahnfarbener und goldfarbiger Brackets.
Behandlung im höheren Alter

Nicht nur Kinder und Jugendliche, sondern auch Erwachsene werden kieferorthopädisch behandelt. Dabei gibt es kein Alterslimit: Selbst in hohem Alter können noch Veränderungen der Zahnstellung durchgeführt werden
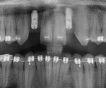
Kombination mit Implantaten – Brücken – Kronen

Die Versorgung stärker zerstörter Zähne oder von Zahnlücken durch den Zahnarzt mit Kronen und Brücken oder Implantaten führt oft zu wesentlich schöneren Ergebnissen, wenn die vorhanden Zähne, etwa Pfeilerzähne für Brücken oder Zähne neben geplanten Implantaten, vorher kieferorthopädisch eingestellt werden.
Verankerung – Miniimplantat

Im Rahmen der Behandlungsplanung wird die Richtung der Zahnbewegungen festgelegt. Um bestimmte Zahnbewegungen ohne unerwünschte Nebenwirkungen durchführen zu können, sind manchmal Verankerungen sinnvoll, die unabhängig von den Zähnen sind.
Besonders elegant ist dabei die Anbringung kleiner Pins neben den Zähnen oder im Bereich des Gaumens. Diese so genannten Mini-Implantate verankern sich zahnunabhängig im Kiefer und erlauben zielgerichtete Bewegungen. Die Behandlungszeit verkürzt sich entsprechend.
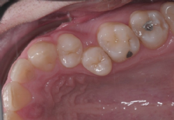
Behandlung in Kombination mit Zahnextraktionen
Gar nicht so selten ist die Anzahl der vorhandenen bleibenden Zähne größer als es dem Platzangebot des Kiefers entspricht. In diesen Fällen ist die Entfernung bleibender Zähne oft die einzig zielführende Möglichkeit, harmonische und schöne Zahnreihen zu erhalten. Entfernt werden jene Zähne, deren funktionelle Wichtigkeit relativ am geringsten ist, unter Berücksichtigung etwa vorhandener (behandelter oder unbehandelter) Karies, sowie der geplanten Zahnbewegungen.

Bei geringem Platzmangel kann stattdessen auch die Verschmälerung mehrerer bleibender Zähne des betreffenden Kiefers durchgeführt werden (Approximale Schmelzreduktion, „Stripping"). Dabei werden die Zähne an ihren jeweiligen Berührungsflächen mit geeigneten Instrumenten (feine rotierende Instrumente oder abrasive Streifen) bearbeitet und geringfügig Substanz reduziert.
Behandlungen in Kombination mit chirurgischen Maßnahmen

Manche Fehlstellungen oder Fehlbildungen müssen in Kombination mit chirurgischen Maßnahmen behandelt werden. Hiezu zählen die Einreihung verlagerter Zähne, stärkere Diskrepanzen der Bisslage, Fehlstellungen bei Kiefer- Gaumenspalten und anderes. In den Fällen, wo der chirurgische Aufwand für unsere Praxis zu groß ist, können wir Ihnen sehr erfahrene Kieferchirurgen empfehlen, mit denen wir zusammenarbeiten.
